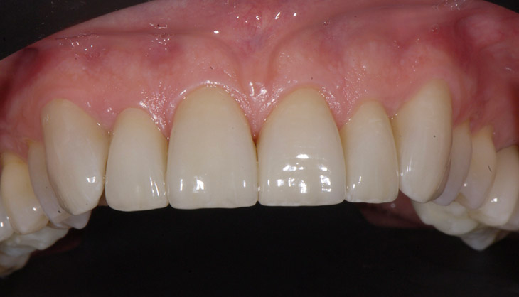
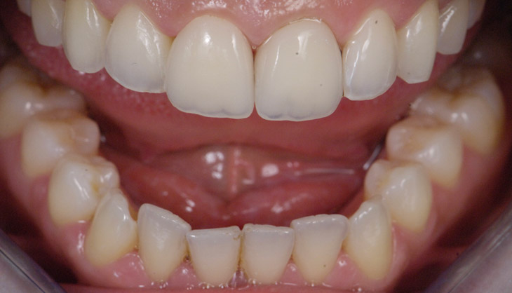
L’approche du cabinet Contrescarpe
« Notre objectif : vous apporter une réponse personnalisée »
Au cabinet dentaire Contrescarpe, notre priorité est de pouvoir concilier
dentisterie contemporaine et votre satisfaction.
Nos chirurgiens-dentistes souhaitent bien comprendre vos attentes afin d’être en mesure
d’y apporter la meilleure réponse. C’est pour cette raison que nous vous proposons
un premier rendez-vous dont les priorités sont d’apprécier
vos attentes et d’établir le diagnostic.
Votre sourire, votre confort, votre santé !





































